brushingDental AnxietyDental CareDental ImplantTeeth Whiteningtooth care Transform Your Smile with the Best Dental Implants in HSR Layout at Prakash Dental Care Losing a tooth can affect much more than your smile. It can change the way…Dr.PrakashDecember 16, 2025
brushingDental AnxietyDental CareDiet TipsGum DiseasesGum health Tooth Extraction in HSR Layout: Gentle Solutions for Problem Teeth Sometimes removing a tooth is the best way to protect your overall oral health. At…Dr.PrakashDecember 1, 2025
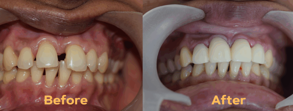
brushingcosmetic dental treatmentcosmetic dental treatmentsDental Care Top Cosmetic Dental Treatments and How Can They Transform Your Smile? | Purpose, Procedures & Real Benefits If you’re looking to boost your confidence and give your smile a beautiful upgrade? You…Dr.PrakashNovember 12, 2025
brushingDental Caredental cleaningDental cleaning and polishingmilk teethTeeth Whiteningteeth whitening treatment Tips for Keeping Your Teeth White After Whitening Treatment Getting a teeth whitening treatment can instantly boost your confidence. A brighter smile makes you feel more comfortable in conversation,…Dr.PrakashNovember 10, 2025
brushingDental CareDental ImplantGum DiseasesTeeth Whitening Step-by-Step Guide to the Dental Implant Procedure: From Extraction to Restoration The dental implant procedure involves a multistage process designed to provide a permanent solution for…Dr.PrakashOctober 29, 2025
brushingDental AnxietyDental CareDiet TipsGum DiseasesGum healthThe Current Scenario Key Benefits of Including Dental Cleaning and Polishing in Your Annual Routine Having a healthy, confident smile is far more important than keeping your teeth and gums…Dr.PrakashOctober 25, 2025
brushingDental CareDiet TipsGum DiseasesGum healthmilk teethMyths Vs FactsOral Healthpreganancytooth careTooth Decay Pregnancy and Oral Health Pregnancy is a natural physiological process accompanied by temporary changes in women’s physical structure, hormone…Dr.PrakashMay 13, 2025
brushingDental Caremilk teethMyths Vs FactsTooth Decay Does your child have decayed teeth at a very young age? Early childhood caries (“ECC”) refers to tooth decay in children under the age of six.…Dr.PrakashMarch 21, 2025
brushingGum DiseasesGum healthThe Current Scenario Are you Worried about Receding Gums? Gingival recession occurs when the gums moves away from the teeth, impacting oral well-being. It…Dr.PrakashJanuary 10, 2024
BracesbrushingThe Current Scenario 3 Ways To Care For Your Braces Got your braces? Congratulations! You are just a step away from getting a healthier and…Dr.PrakashJuly 14, 2022