Advanced Gum Treatment in HSR Layout | Prakash Dental Care

Gum disease is not just a dental problem.It is closely linked to serious health conditions like heart disease, diabetes, and Alzheimer’s disease. Inflammation caused by periodontal infections can enter the bloodstream, affecting major organs and worsening systemic conditions. Research shows that untreated gum disease increases cardiovascular risk, complicates blood sugar control, and may contribute to cognitive decline. Early diagnosis and professional gum care can significantly reduce these risks. If you are looking for Gum Treatment in HSR Layout, visiting the Best Dental Clinic in HSR ensures preventive care that protects both your oral and overall health.

What Is Gum Disease and Why Should You Be Concerned?

Gum disease, also called periodontal disease, is a chronic inflammatory infection affecting the gums and supporting structures of the teeth. It begins as gingivitis (red, swollen, bleeding gums) and can progress to periodontitis, leading to bone loss and tooth loss.

It is caused by plaque buildup filled with harmful bacteria. If untreated, these bacteria enter the bloodstream and trigger systemic inflammation.

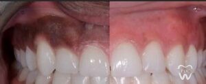
Gum disease symptoms and care

How Does Gum Disease Affect Heart Health?

Several studies show a strong link between periodontal disease and cardiovascular problems. The bacteria from infected gums can enter the bloodstream and attach to fatty deposits in heart arteries. This may contribute to:

  • Artery inflammation
  • Plaque buildup (atherosclerosis)
  • Increased risk of heart attack and stroke
  • Blood clot formation

Chronic inflammation is a major contributor to heart disease. Gum disease increases inflammatory markers like C-reactive protein (CRP), which are also linked to cardiovascular events.

Can Treating Gum Disease Reduce Heart Risk?

Yes. Research indicates that professional periodontal therapy can reduce systemic inflammation markers. Deep cleaning (scaling and root planing) lowers bacterial load and improves gum health.

Patients who receive proper gum care often show improved endothelial function (better blood vessel health). This suggests that early gum intervention may contribute to better cardiovascular outcomes.

If you’re searching for the Best Gum Disease Treatment in HSR Layout, timely treatment can protect both your smile and your heart.

Healthy gums and oral hygiene

What Is the Connection Between Gum Disease and Diabetes?

The relationship between diabetes and gum disease is bidirectional each condition worsens the other.

  • High blood sugar increases infection risk.
  • Gum inflammation makes blood sugar harder to control.
  • Severe periodontitis can increase insulin resistance.

People with diabetes are more likely to develop gum disease, and untreated gum infections 

Can Gum Treatment Improve Blood Sugar Levels?

Yes. Studies show that periodontal treatment can reduce HbA1c levels (a key measure of blood sugar control). When gum infection is treated:

  • Inflammation decreases
  • Insulin sensitivity may improve
  • Glycemic control becomes easier

For diabetic patients, regular dental checkups and professional cleaning are not optional they are essential healthcare steps.

Choosing the Best Dental Clinic in HSR for periodontal care can help diabetic patients manage their condition more effectively.

Is There a Link Between Gum Disease and Alzheimer’s?

Emerging research suggests that chronic gum infections may play a role in cognitive decline. Scientists have identified oral bacteria such as Porphyromonas gingivalis in the brains of Alzheimer’s patients.

Possible mechanisms include:

  • Chronic systemic inflammation
  • Bacterial toxins reaching brain tissue
  • Increased inflammatory cytokines affecting neurons

Although research is ongoing, the connection between inflammation and neurodegenerative diseases is becoming clearer.

tooth reshaping and contouring treatment
How Does Inflammation Connect Oral and Systemic Health?

Inflammation is the common link between gum disease, heart disease, diabetes, and Alzheimer’s. When your gums are infected:

  1. Bacteria enter the bloodstream.
  2. The immune system releases inflammatory chemicals.
  3. Chronic inflammation damages blood vessels and tissues.

Persistent inflammation stresses the body and contributes to systemic disease progression.

This is why periodontal health is increasingly considered part of preventive medical care.

What Are the Warning Signs of Gum Disease?

Early detection prevents serious complications. Watch for:

  • Bleeding gums while brushing
  • Swollen or tender gums
  • Persistent bad breath
  • Receding gums
  • Loose teeth
  • Pus between teeth and gums

Ignoring these symptoms allows the infection to worsen and spread.

If you notice these signs, seek Gum Treatment in HSR Layout immediately for professional evaluation.

Who Is at Higher Risk for Systemic Complications from Gum Disease?

Certain individuals should be extra cautious:

  • People with diabetes
  • Heart disease patients
  • Smokers
  • Pregnant women
  • Elderly individuals
  • People with weakened immune systems

Regular dental visits every 6 months (or more frequently if advised) significantly reduce systemic risks.

Choosing the Best Gum Disease Treatment in HSR Layout ensures comprehensive periodontal assessment and preventive care.

How Can You Prevent Gum Disease and Protect Overall Health?

Prevention is simple but powerful:

  • Brush twice daily with fluoride toothpaste
  • Floss daily
  • Use antimicrobial mouthwash
  • Get professional cleaning every 6 months
  • Control blood sugar if diabetic
  • Quit smoking
  • Maintain a healthy diet

Professional scaling and root planing remove plaque below the gum line, which home care cannot reach.

Regular visits to the Best Dental Clinic in HSR ensure early diagnosis and advanced periodontal care.

Conclusion

Your gums are more powerful than you think.They play a critical role in protecting not just your teeth, but your heart, blood sugar levels, and even brain health. The growing evidence linking gum disease to heart disease, diabetes, and Alzheimer’s highlights the importance of early prevention and timely care. Ignoring gum inflammation can allow harmful bacteria to spread throughout the body, increasing long-term health risks.

If you experience bleeding gums, swelling, or persistent bad breath, don’t delay seeking Gum Treatment in HSR Layout. Early intervention can protect your smile and contribute to better overall health and quality of life.

Frequently Asked Questions (FAQ)

1. Can gum disease really cause heart disease?

Gum disease does not directly cause heart disease, but it increases inflammation and bacterial spread, which may elevate cardiovascular risk.

2. Is gum disease common in diabetic patients?

Yes. Diabetic patients are more prone to gum infections due to reduced immune response and high blood sugar levels.

3. Can treating gum disease lower HbA1c levels?

Studies suggest that periodontal treatment may help improve glycemic control and slightly reduce HbA1c levels.

4. How often should I get professional gum cleaning?

Most patients need cleaning every 6 months, but those with gum disease may require visits every 3 to 4 months.

5. Is gum disease reversible?

Gingivitis is reversible with proper care. Advanced periodontitis requires professional treatment but can be managed effectively.

6. Where can I get the Best Gum Disease Treatment in HSR Layout?

Visit a Prakash dental care team offering comprehensive periodontal evaluation, scaling, root planing, and advanced gum therapies at the Best Dental Clinic in HSR.