What Are Dental Veneers? Benefits & Treatment Process - Prakash dental ca

A confident smile can change the way you feel, speak, and present yourself. Many people who visit a dental clinic are not only looking to treat pain but also to improve the look of their teeth. If you’ve ever felt conscious about chipped teeth, gaps, stains, or uneven shapes, you may have searched for solutions like dental crowns or cosmetic treatments.

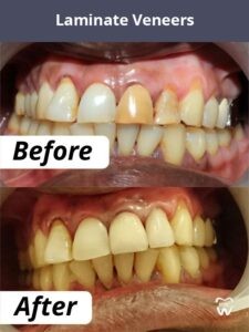
One of the most popular smile-enhancing options today is dental veneers. Veneers offer a natural-looking transformation that improves the shape, shade, and overall appearance of your smile often without major dental work.

At Prakash Dental Care, many patients discover us while searching for Dental Veneers in HSR Layout or Dental Veneers in Koramangala, and they ask the same questions:

  • Are veneers safe?
  • Do veneers damage teeth?
  • Should I choose veneers or crowns?

    What Are Dental Veneers? Benefits & Treatment Process 

This blog explains what veneers are, their benefits, and the complete treatment process in a simple, patient-friendly way

What Are Dental Veneers

Dental veneers are thin, custom-made shells that cover the front surface of your teeth. They are designed to improve how your teeth look by correcting problems such as:

  • Tooth discoloration (stains that don’t go away)
  • Small gaps between teeth
  • Chipped or worn teeth
  • Uneven tooth shapes
  • Slightly misaligned teeth
  • “Gummy” or uneven smile appearance

    What Are Dental Veneers?

Veneers are made to match your natural tooth colour and shape, so they blend beautifully with your smile.

If you are exploring cosmetic dental options at a Dental Clinic in HSR Layout, veneers are often one of the most preferred treatments for a quick yet natural transformation.

Why Veneers Are Trending in Bangalore (Especially for Working Professionals)

In cities like Bangalore, many people want improvements that look natural but feel minimal and comfortable. Veneers have become trending because they:

  • Provide fast smile transformation
  • Look extremely natural
  • Require fewer appointments than braces
  • Improve confidence instantly

This is why people searching for Dental Veneers in HSR Layout and Dental Veneers in Koramangala often choose veneers as a premium cosmetic option.

Dental Veneers vs Dental Crowns: What’s the Difference?

Many patients looking for “dental crowns” also end up learning about veneers. While both improve the look and function of teeth, they work differently:

Dental Veneers

  • Cover only the front surface of the tooth
  • Mainly improve appearance
  • Best for stains, minor chips, gaps, shape correction
  • Minimal tooth reduction in most cases

Dental Crowns

  • Cover the entire tooth (front, back, and sides)
  • Restore strength and function
  • Best for weak, broken, root canal treated, or heavily damaged teeth
  • Requires more tooth shaping compared to veneers

Simple tip:
If your tooth is mostly healthy but looks uneven or stained, veneers can be ideal.
If your tooth is weak or damaged, a crown may be the better choice.

A consultation with the best dentist in HSR Layout helps you choose the right option based on your tooth condition and long-term goals.

Types of Dental Veneers

At Prakash Dental Care, we guide patients on the best veneer material based on needs and expectations.

What Are Dental Veneers?

1. Porcelain Veneers

Porcelain veneers are strong, stain-resistant, and offer the most natural look. They are often chosen for long-term results and premium smile makeovers.

Best for:

  • Severe stains
  • Smile correction
  • Long-lasting aesthetics

2. Composite Veneers

Composite veneers are made from tooth-coloured resin and can often be completed faster. They work well for minor corrections.

 Best for:

  • Small chips
  • Minor gaps
  • Quick smile improvements

Benefits of Dental Veneers

Here are the biggest reasons people choose veneers:

1. Natural, Beautiful Smile

Veneers are designed to match your facial features and natural tooth shade, giving a realistic and attractive look.

2. Covers Stains That Whitening Can’t Fix

Some stains don’t respond to whitening, especially deep discoloration. Veneers can cover these stains completely.

3. Repairs Chips and Uneven Teeth

Even small chips or uneven tooth edges can affect confidence. Veneers make teeth look balanced and smooth.

4. Boosts Confidence

Most patients feel more confident in photos, meetings, and social situations after veneer treatment.

5. Long-Lasting Results

With proper care, veneers can stay strong and look good for many years.

Dental Veneers Treatment Process (Step-by-Step)

Patients often worry about pain or the process. Here’s what you can expect:

Step 1: Consultation & Smile Assessment

Your dentist checks:

  • Tooth condition
  • Gum health
  • Bite and alignment
  • Your smile goals

At our Dental Clinic in HSR Layout, we also guide you on whether veneers or crowns are more suitable.

Step 2: Shade Selection & Smile Planning

We select a tooth shade that looks natural and suits your face. We also plan the shape and size based on your smile line.

Step 3: Tooth Preparation (Minimal Shaping)

For most veneer cases, we remove a very thin layer of enamel. This helps the veneer fit naturally without looking bulky.

  • Most patients find this step comfortable and painless.

Step 4: Impression or Digital Scan

We take an impression or scan of your teeth. This helps in creating veneers that fit perfectly.

Step 5: Veneer Placement

Once ready, your dentist places the veneers using strong dental bonding. The veneers are adjusted for fit, comfort, and appearance.

After placement, you can smile confidently right away.

How Long Does Veneer Treatment Take?

Most veneer treatments take 2 to 3 visits, depending on:

  • Number of teeth
  • Type of veneers
  • Smile design goals

Your dentist will provide a clear timeline during your consultation.

Do Dental Veneers Hurt?

Veneer treatment is usually very comfortable. Most patients experience little to no pain. If needed, the dentist uses local anesthesia to ensure complete comfort.

How to Care for Veneers (Simple Tips)

Veneers are easy to maintain. Follow these habits:

  • Brush twice a day
  • Floss daily
  • Avoid biting very hard objects (ice, pens)
  • Reduce smoking and staining foods
  • Visit your dentist for regular check-ups

With good care, veneers stay clean, bright, and long-lasting.

Who Should Consider Dental Veneers?

Veneers can be perfect for you if you have:

  • Stains that don’t go away
  • Minor gaps
  • Chipped edges
  • Uneven tooth shapes
  • A desire for a more confident smile

If you’re searching for Dental Veneers in Koramangala or Dental Veneers in HSR Layout, a proper consultation can confirm if veneers are the best option for your smile.

Why Choose Prakash Dental Care for Dental Veneers in HSR Layout?

Patients choose us because we provide:

  • Personalised smile design planning
  • Natural-looking results
  • High-quality materials
  • Comfortable and patient-friendly care
  • Expert guidance from the best dentist in HSR Layout

Our goal is to create a smile that looks beautiful, feels natural, and suits your face perfectly.

Dental veneers are one of the best cosmetic dental treatments for anyone who wants a natural-looking smile upgrade. They can cover stains, fix chipped teeth, close small gaps, and improve the shape of your teeth without major procedures.

If you’re looking for Dental Veneers in HSR Layout or Dental Veneers in Koramangala, visit Prakash Dental Care for a personalised consultation. Our team will help you decide whether veneers or crowns are the right option—so you get a confident, healthy smile that lasts.

Frequently Asked Questions

1. Are dental veneers permanent?

Veneers are long-lasting, but they may need replacement in the future based on care and lifestyle habits.

2. Can veneers fix gaps in teeth?

Yes. Veneers can close small gaps and improve smile symmetry without braces in many cases.

3. Veneers or crowns, what should I choose?

Veneers improve appearance, while crowns improve strength. Your dentist will recommend the best option based on your tooth condition.

4. Can I whiten veneers later?

No. Veneers don’t whiten like natural teeth, so it’s important to choose the right shade before placement.

5. How many veneers do I need?

It depends on your smile goals. Some patients choose 2–4 front veneers, while others opt for 6–10 for a complete smile makeover.

6. Are veneers safe for daily use?

Yes. Veneers are safe and comfortable when placed by an experienced dentist and maintained properly.